MIH: una nuova sindrome in odontoiatria?

mihRicevo dal dott. Francesco Lombardi, odontoiatra in Lanciano (CH) www.sdlombardi.it questa interessante segnalazione su una patologia dentale emergente, certamente molto sottodiagnosticata da noi Pediatri.

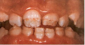
Con l’acronimo MIH (molar and incisor hypomineralization) si intende la ipomineralizzazione dello smalto, di origine sistemica, che coinvolge da 1 a 4 primi molari permanenti, con frequente interessamento degli incisivi. A volte possono mostrare difetti dello smalto anche i secondi molaretti decidui (sintomo prodromico), i secondi molari permanenti e i canini permanenti. I denti del mascellare superiore sono più frequentemente affetti rispetto a quelli della mandibola.

mih2L’ipomineralizzazione è un difetto qualitativo dello smalto. I denti interessati mostrano zone di demarcata opacità di colore bianco-giallo o giallo-marrone; più il colore è scuro, minore è la durezza dello smalto e quindi maggiore sarà la sua porosità. Inoltre anche l’ampiezza dell’opacità è importante, in quanto se ampia meno di 1 mm non viene considerata rilevante.

Ovviamente, un altro fattore importante da considerare è il numero dei molari e incisivi permanenti coinvolti: maggiore è il numero più severa è l’MIH.

Le aree di ipomineralizzazione lieve si manifestano unicamente con un cambiamento di colore, mentre quelle moderate con una perdita di smalto. Nei casi di MIH severa, la perdita di tessuto riguarda anche la dentina. Le lesioni tendono ad aggravarsi nel tempo ed i molari vanno precocemente incontro al cosiddetto “post-eruptive break-down”, ossia a delle fratture dello smalto che espongono la dentina facendo sì che i denti interessati rapidamente vadano incontro a carie. E’ per questo motivo che il post-eruptive break-down viene frequentemente confuso con una lesione cariosa.

Nelle forme più severe i molari ipomineralizzati sono molto sensibili e i bambini affetti riferiscono notevole fastidio allo spazzolamento, alla masticazione o anche solo respirando aria fredda. Per questo motivo i piccoli pazienti tendono a non curare adeguatamente l’igiene domiciliare causando così un circolo vizioso che porta al rapido deterioramento dei molari stessi.

Anche l’approccio clinico è complesso per le forme severe, in quanto in questi elementi gravemente ipomineralizzati si ha difficoltà ad ottenere una buona anestesia. Lo smalto poroso, infatti, permette la penetrazione batterica anche in assenza di carie, per cui abbiamo una polpa in continuo stato infiammatorio, molto sensibile e meno recettiva agli anestetici.

LE CAUSE

Le ipotesi sulle possibili cause dell’MIH sono numerose, ma non ancora certe. Tra le più discusse ci sono le malattie verificatesi entro i primi 3 anni di vita (asma, infezioni del tratto respiratorio, otite media, tonsilliti, malattie esantematiche, etc.) ossia nel periodo di mineralizzazione dei primi molari e incisivi centrali permanenti.

Inoltre negli ultimi tempi si sta indagando sulla correlazione tra l’MIH e l’utilizzo di alcuni antibiotici, tra cui l’amoxicillina.

I difetti di ipomineralizzazione tendono ad aggravarsi con l’età: i bambini più piccoli hanno difetti moderati, mentre quelli più grandi più frequentemente mostrano gravi difetti; appare fondamentale alla luce di ciò la diagnosi precoce.

Individuare la MIH prima che si verifichi una progressione dei danni, dà la possibilità di procedere a metodiche di remineralizzazione e desensibilizzazione anche con trattamenti domiciliari attraverso prodotti specifici a base di fluoro e/o caseina che si sono dimostrati efficaci a questi proposito, limitando o riducendo terapie fastidiose per il piccolo paziente.

Ancora più importante è fornire ai genitori una corretta informazione su questa recente, ma sempre più diffusa, sindrome e sul fatto che denti così ipomineralizzati richiedono un monitoraggio costante nel tempo.

DIAGNOSI DIFFERENZIALE

fluorosiLa MIH va distinta dalla fluorosi, quest’ultima presenta macchie bianco-brunastre a livello di più elementi dentali, ma si tratta di uno smalto non poroso, ma resistente.

celiachia3aLa MIH va distinta dalla ipoplasia dello smalto che è un difetto quantitativo e non qualitativo e che si manifesta con una scarsa formazione di matrice smaltea fin dalla nascita dell’elemento.

Clinicamente nei casi di ipoplasia si è visto che i margini delle aree interessate sono lisci, mentre nell’MIH i margini sono irregolari. Inoltre il crollo strutturale dello smalto (post-eruptive break-down) nell’MIH è appunto  post-eruttivo e non presente alla nascita dell’elemento.